Histologi - Termin 3
Mikroskopisk anatomi för kroppens organsystem med fokus på homeostas. Här finner du bilder från mikroskop för att identifiera vävnader och strukturer.
📚 Kurslitteratur
Rekommenderad litteratur för Histologi
En god histologiatlas är ovärderlig för att lära sig identifiera vävnader:
- Ross & Pawlina: Histology: A Text and Atlas
- Junqueira's Basic Histology
🧪 Quiz
🔬 Histologi T3: Allt
Öva på alla histologipreparat från Termin 3
📖 Referenssidor
Detaljerade genomgångar av histologiska strukturer och kännetecken:
🔬 Epiteltyper
Översikt av olika epiteltyper och deras lokalisation
🫁 Blod & Luftvägar
Blodceller, luftvägar och lungans histologi
🫘 Urinvägar
Njurar, urinledare och urinblåsa
🛡️ Lymfoid Vävnad
Thymus, lymfknutor, mjälte och MALT
🧪 Endokrina Organ
Hormonproducerande körtlar
🍽️ Mag-tarmkanalen
GI-kanalens histologi från esofagus till colon
👅 Tunga & Körtlar
Tunga, spottkörtlar och pankreas
❤️ Hjärta & Kärl
Kardiovaskulär histologi
🔬 Reproduktionsorgan
Manliga och kvinnliga reproduktionsorgan
📋 Kursinnehåll
Blod och Luftvägar
- Trachea och bronker
- Alveoler och gasutbyte
- Blodceller och blodutstryk
- Artärer, vener och kapillärer
Hjärta och Kärlsystem
- Hjärtmuskelns speciella egenskaper
- Elastiska och muskulära artärer
- Mikrocirkulation
- Lymfkärl
Digestionsorganen
- Mag-tarmkanalen
- Esofagus - skiktat skivepitel
- Ventrikel - körtlar och slemhinna
- Tunntarm - villi och kryptor
- Tjocktarm - gobletceller
- Accessoriska körtlar
- Lever - hepatocyter och portaltriad
- Gallblåsa
- Pankreas - exokrin och endokrin del
Njure och Urinvägar
- Nefron - glomerulus och tubuli
- Juxtaglomerulär apparat
- Ureter och urinblåsa
Endokrina System
- Hypofys - adeno- och neurohypofys
- Thyroidea - folliklar
- Parathyroidea
- Binjure - cortex och medulla
- Langerhanska öar i pankreas
Reproduktionsorgan
- Manliga
- Testis - seminifera tubuli
- Epididymis
- Prostata
- Kvinnliga
- Ovarium - folliklar
- Tuba uterina
- Uterus - endometrium faser
- Placenta
🔬 Alla preparat
| Preparat | Namn | Kategori | Bilder |
|---|---|---|---|
| 3:1:1 | Trachea | Luftvägar | ![]() ![]() |
| 3:1:2 | Lunga | Luftvägar | ![]() ![]() ![]() ![]() ![]() ![]() ![]() ![]() |
| 3:1:3 | Blodkärl - Artär och ven | Blod och kärl | ![]() ![]() ![]() ![]() ![]() |
| 3:1:4 | Blodutstryk | Blod och kärl | ![]() ![]() ![]() ![]() ![]() ![]() ![]() ![]() ![]() ![]() |
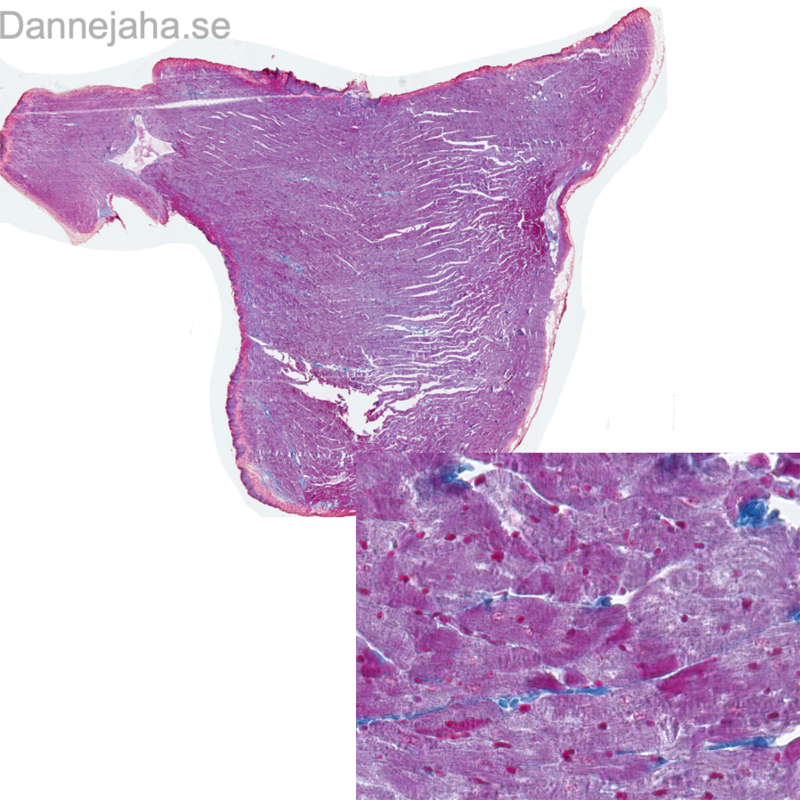
| 3:2:1 | Hjärtmuskel | Hjärta | ![]() |
| 3:2:2 | Aorta | Kärl | ![]() ![]() ![]() |
| 3:2:3 | Elastisk artär | Kärl | ![]() |
| 3:2:4 | Muskulär artär | Kärl | |
| 3:2:5 | Kapillärer | Kärl | |
| 3:3:1 | Esofagus | Digestion | ![]() ![]() ![]() ![]() |
| 3:3:2 | Ventrikel | Digestion | ![]() ![]() ![]() ![]() ![]() ![]() ![]() ![]() ![]() |
| 3:3:3 | Duodenum | Digestion | ![]() ![]() ![]() ![]() ![]() ![]() ![]() ![]() |
| 3:3:4 | Jejunum | Digestion | ![]() ![]() ![]() |
| 3:3:5 | Ileum | Digestion | ![]() ![]() ![]() ![]() ![]() ![]() |
| 3:3:6 | Colon | Digestion | ![]() ![]() ![]() ![]() |
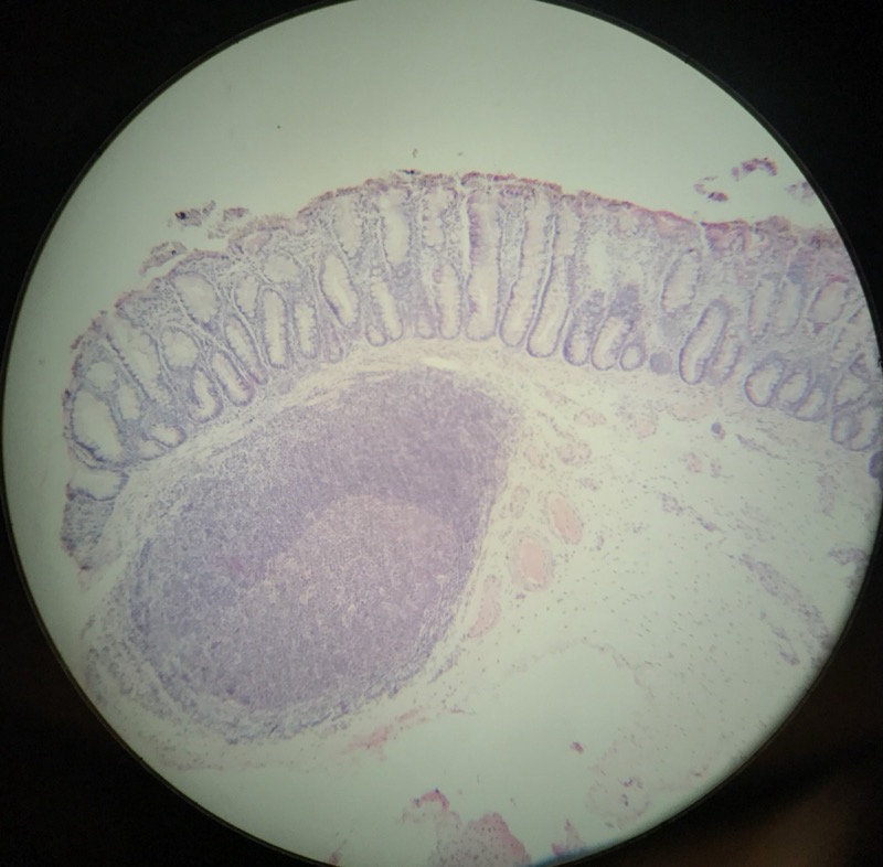
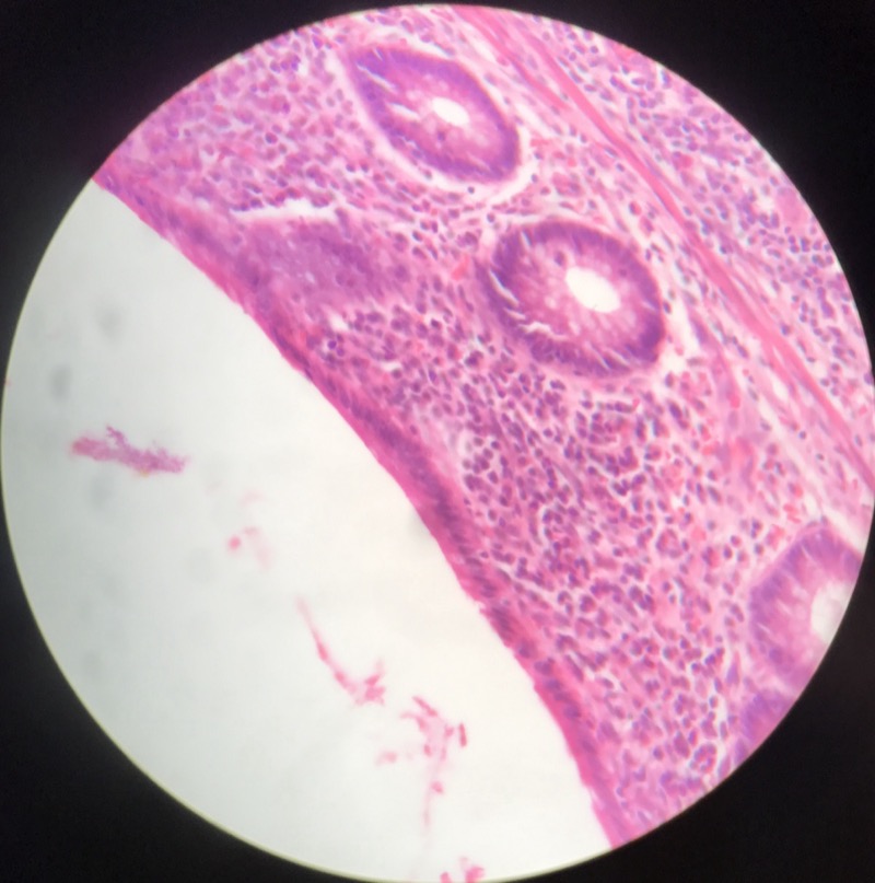
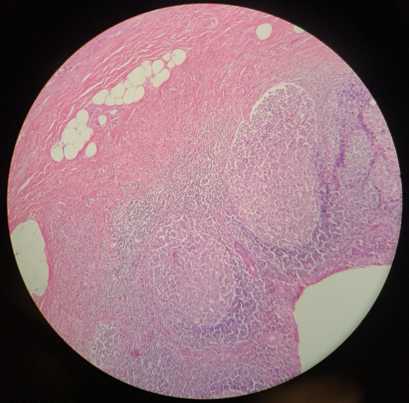
| 3:3:7 | Appendix | Digestion | ![]() ![]() ![]() ![]() ![]() ![]() ![]() ![]() |
| 3:5:1 | Lever (Hepar) | Digestion - Körtlar | ![]() ![]() ![]() |
| 3:5:2 | Gallblåsa (Vesica Fellea) | Digestion - Körtlar | ![]() ![]() ![]() ![]() |
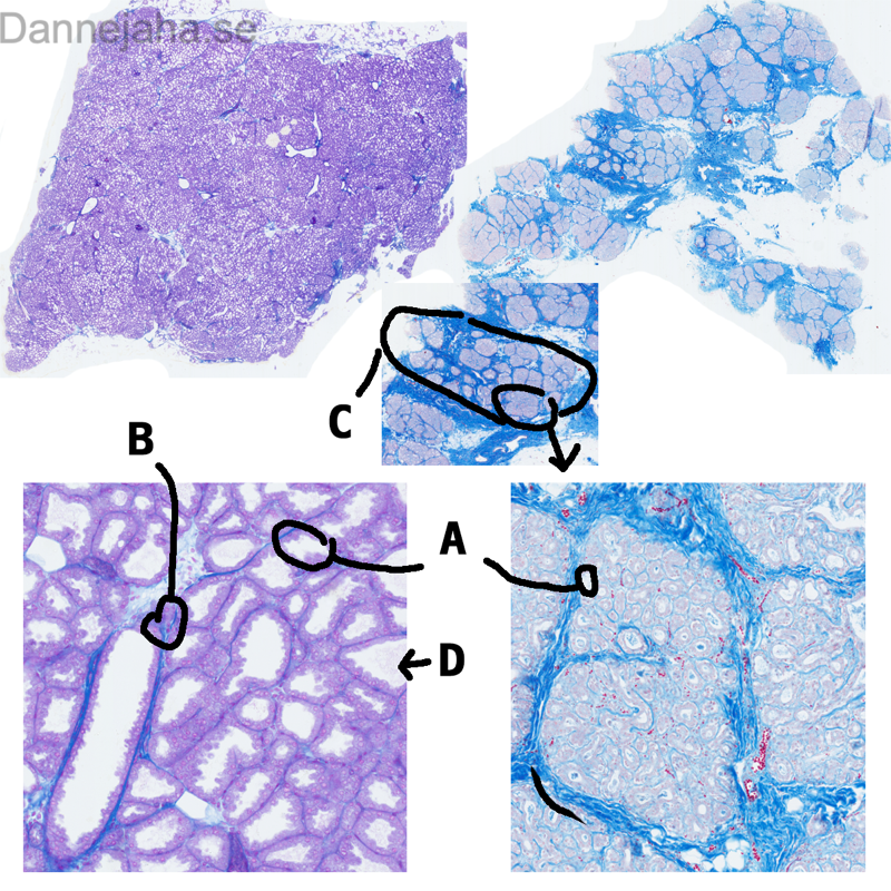
| 3:5:3 | Pankreas | Digestion - Körtlar | |
| 3:6:1 | Njure - cortex och medulla | Urinvägar | ![]() ![]() ![]() ![]() ![]() ![]() ![]() ![]() ![]() ![]() |
| 3:6:2 | Ureter | Urinvägar | ![]() ![]() ![]() ![]() ![]() ![]() |
| 3:6:3 | Urinblåsa | Urinvägar | ![]() ![]() ![]() |
| 3:3:8 | Lingua (Tunga) | Digestion | ![]() ![]() |
| 3:3:9 | Lingua - Papilla Fungiforme | Digestion | ![]() ![]() |
| 3:3:10 | Lingua - Papilla Circumvallate | Digestion | ![]() ![]() ![]() |
| 3:3:11 | Glandula Sublingualis | Digestion | ![]() ![]() ![]() |
| 3:4:1 | Thymus | Lymfoid | ![]() ![]() ![]() |
| 3:4:2 | Lien (Mjälte) | Lymfoid | ![]() ![]() ![]() |
| 3:4:3 | Lymfnod | Lymfoid | ![]() ![]() ![]() ![]() |
| 3:4:4 | Peyerska Plaque | Lymfoid | ![]() ![]() ![]() |
| 3:4:5 | Tonsilla | Lymfoid | ![]() ![]() ![]() |
| 3:7:1 | Epifys | Endokrina | ![]() ![]() ![]() |
| 3:7:2 | Hypofys | Endokrina | ![]() ![]() ![]() ![]() |
| 3:7:3 | Thyroidea | Endokrina | ![]() ![]() ![]() ![]() ![]() |
| 3:7:4 | Parathyroidea | Endokrina | ![]() ![]() ![]() ![]() ![]() |
| 3:7:5 | Glandula Suprarenalis (Binjure) | Endokrina | ![]() ![]() |
| 3:8:1 | Testis | Reproduktion | ![]() |
| 3:8:2 | Epididymis | Reproduktion | ![]() |
| 3:8:3 | Ductus Deferens | Reproduktion | ![]() |
| 3:8:4 | Vesicula Seminalis | Reproduktion | ![]() |
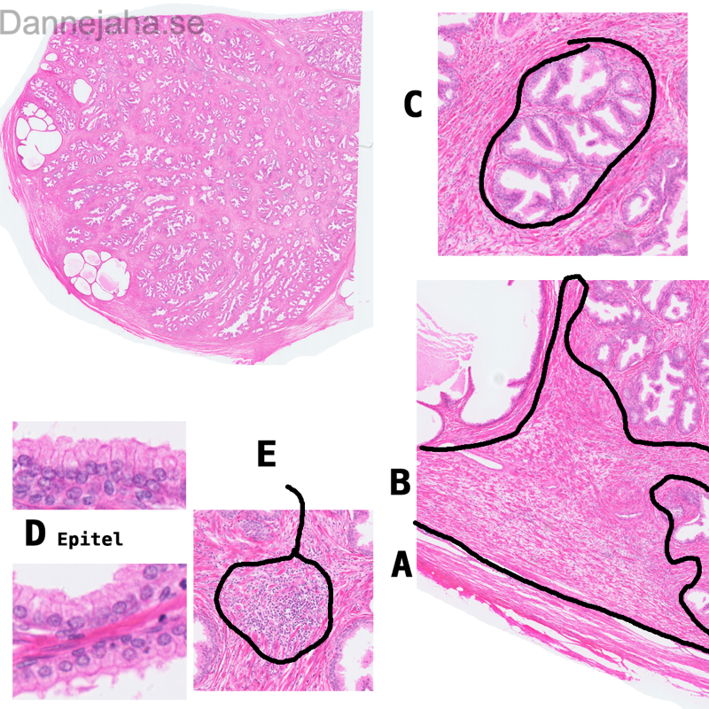
| 3:8:5 | Prostata | Reproduktion | ![]() |
| 3:8:6 | Penis | Reproduktion | ![]() ![]() ![]() ![]() ![]() |
| 3:8:7 | Ovarium | Reproduktion | ![]() ![]() |
| 3:8:8 | Tuba uterina | Reproduktion | ![]() |
| 3:8:9 | Uterus | Reproduktion | ![]() |
| 3:8:10 | Cervix | Reproduktion | ![]() |
| 3:8:11 | Vagina | Reproduktion | ![]() |
| 3:8:12 | Mammae lakterande | Reproduktion | ![]() |
| 3:8:13 | Placenta | Reproduktion | |
| 3:E:1 | Hjärtmuskel | Hjärta | ![]() ![]() ![]() ![]() ![]() ![]() |
| 3:E:3 | Aorta (extra) | Kärl | ![]() ![]() ![]() |
| 3:E:8 | Tonsilla Palatina | Lymfoid | ![]() ![]() |










































































































































































