← Tillbaka till Histologi
Endokrina Organ - Histologi
Detaljerad genomgång av kroppens hormonproducerande körtlar
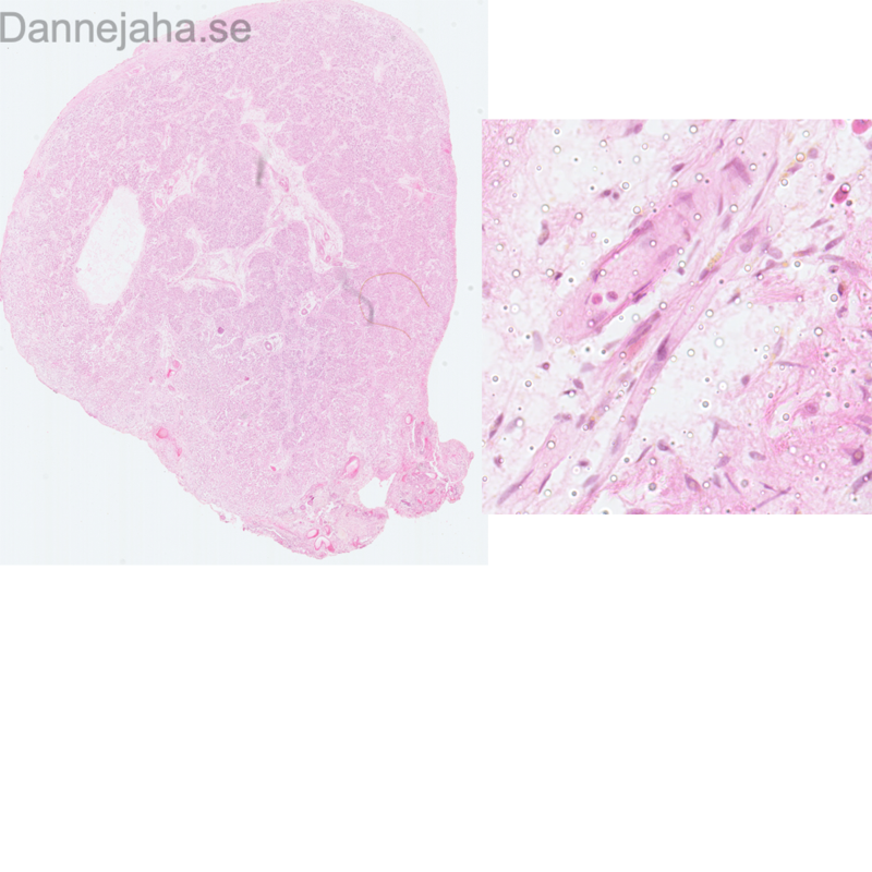
Epifys (2:7:1) - Glandula Pineale
- Pinealocyter (A)
- De flesta celler, runda kärnor
- Interstitialceller (C)
- Utdragna celler och kärnor i stråk (ser ut som streck)
- Hjärnsand (B)
- Blåa segment


Hypofys (2:7:2)
- Neurohypofysen (C)
- Pituicyter (B): Cellerna i denna delen
- Axon (A): Axonen (streck)
- Pars Intermedia (B) (Mellan Neuro och Adeno, har Follikel) - Likt Adenohypfys i övrigt.
- Follikel: Stora ljusa, enfärgade segment.
- Basofil (D): Ljusare
- Kromatofober (E): Ljusare med vit distinkt cirkel runt.
- Kärl
- Adenohypofysen (A) (Mycket kärl)
- Kromatofober (E): Ljusare med vit distinkt cirkel runt kärnan.
- Acidofiler (F): Röda
- Basofiler (D): Ljusare
- Kärl (C): Mörkrött utan kärnor



Thyroidea (2:7:3)
- Follikel med kolloid (A): Enfärgade ljusa segmenten.
- Follikelceller (B): Celler i anslutning till follikel
- Parafollikulära celler (C): Sådana som inte är i anslutning till follikel


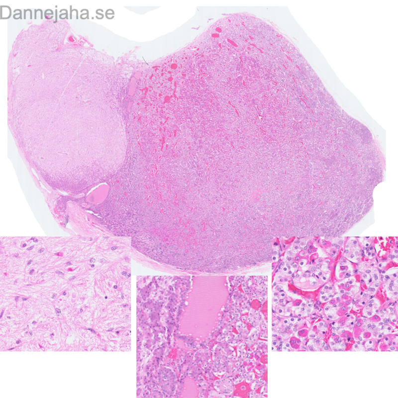
Parathyroidea (2:7:4)
Ofta Thyroidea (B) med på preparat
- Huvudceller (A): Flertalet celler tätt ihop.
- Oxyfila celler (B): Lite ljusare mer glest satta celler i segment.
- Adipocyter (C): Fettceller, vita tomma, stora.


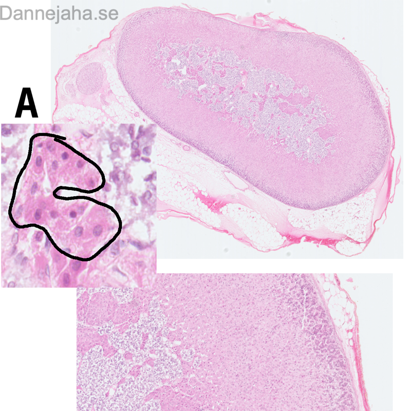
Binjure (2:7:5)
- Kapsel (A): Yttre hinna runt
- Kortex (B-D): Yttre mörkare del mellan medulla och kapsel, har 3 lager (GFR, utifrån och in)
- ZG (B) - Zona Glomerulosa
- ZF (C) - Zona Fasciculata
- ZR (D) - Zona Reticularis
- Medulla (E): Inre kärna som är ljusare
- Polygona kromaffinceller (A): Polygonformade
- Kärl


Videos
💡 Sammanfattning - Endokrina organ
Kännetecken:
- • Epifys: Hjärnsand (blåa kalcifikationer)
- • Hypofys: Tre delar med olika celltyper
- • Thyroidea: Folliklar med kolloid
- • Parathyroidea: Huvudceller och oxyfila celler
- • Binjure: Tre lager i kortex (GFR)
Celltyper att kunna:
- • Acidofiler: Röda celler (hypofys)
- • Basofiler: Blå/ljusa celler
- • Kromatofober: Färglösa celler
- • C-celler: Parafollikulära (thyroidea)
- • Kromaffinceller: I binjuremärgen
Minnesregel för binjurebark:
"GFR" - Zona Glomerulosa, Fasciculata, Reticularis (utifrån och in)