Urinvägar - Histologi
Detaljerad genomgång av njurar och urinvägarnas histologiska strukturer
Översikt urinvägar
- Urinledare - Ureter (A)
- Urinblåsa - Vesica Urinaria (B)
- Urinrör - Urethra (C)
Urotel/Övergångsepitel är karaktäristiskt för dessa, vilket har Paraplyceller (buktar ut mot lumen).

Njuren (2:2:1)
- Kapsel: Kan finnas en hinna av tät oorganiserad bindväv.
- Kortex (A): Definitionen är om där finns Glomeruli eller ej (om vi är i kortex eller medulla)
- Ger en viss antydan till att vi är i kortex.
- Juxtaglomerulära apparaten (I): Ligger an som en klump om man ser en distal tubuli intill.
- Proximala tubuli - 90% (D):
- Epitel: Enskiktat kubiskt med microvilli (Blir diffus avgränsning). Cytoplasma färgas stark.
- Distala tubuli - 10% (E):
- Epitel: Enskiktat kubiskt mindre än de proximala utan villi. Skarp avgränsning mot lumen. Cellkärnan framträder mer då cytoplasman är mindre färgad.
- Glomeruli (C)
- Bowmans kapsel (G): Vita utrymmet runt Glomeruli
- Medulla (B)
- Tjocka nedåtgående likar Proximala tubuli
- Tjocka stigande likar Distala tubuli
- Smala delen är enskiktat plattepitel med kärnor som buktar in i lumen.
- Epitel: Enskiktat kubiskt epitel med skarp gräns mot lumen. I princip genomskinlig cytoplasma.
- Henles slynga Går att se nere i medulla.
- Samlingsrör (F): Avlånga och har gemensam riktning. Övrig som distal tubuli men än tydligare; ljusare med starkare cellkärna och avgränsning mot lumen ganska tydlig.
- Njurbäcken: Calyx minor (A på nedre), kan synas och då får man Urotel endotel.
- Papilla (B på nedre): Änden mot Calyx minor och slutet av samlingsrören.


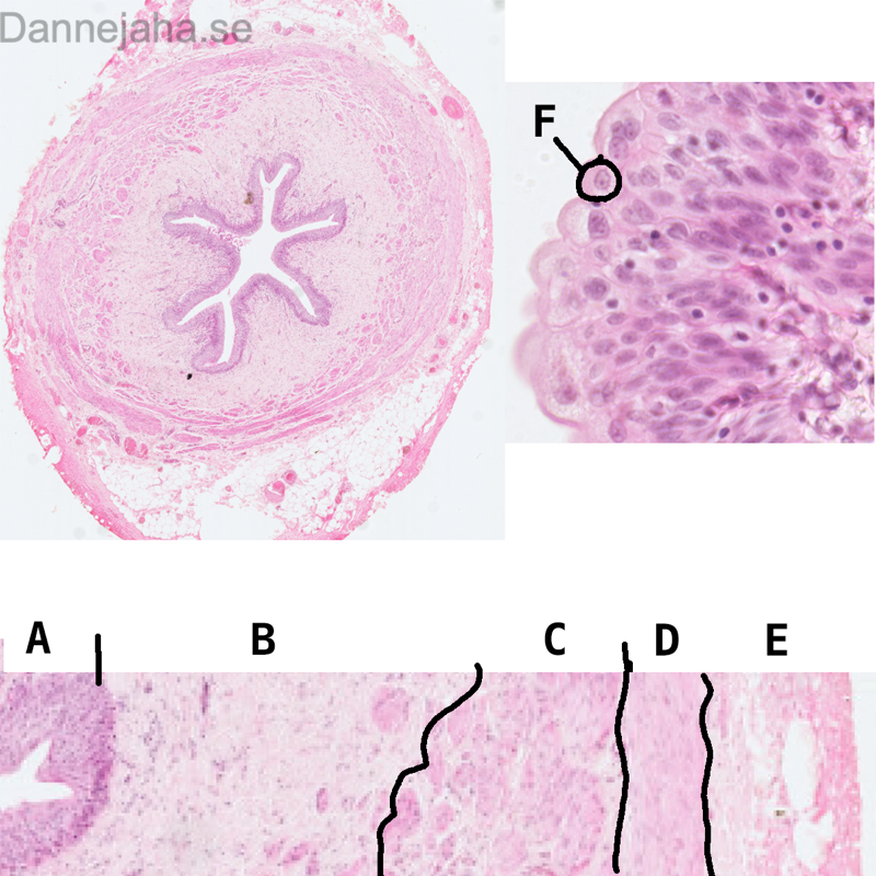
Urinledare - Ureter (2:2:2)
Stjärnformad lumen ska diffas mot sädesledare och Urethra - Urinrör.
- Epitel (A): Urotel, Flerskiktat övergångsepitel, Pseudostratifierat epitel
- Paraplyceller (F): Ställvis på ytan
- Lamina propria (B): Bindväv
- Muskellager: Kraftig muskulatur - Detrusormuskel
- Longitudinellt inre (C): Syns på att det är cirklar
- Cirkulärt yttre (D): Syns på att det är utdragna stråk
- Adventitia (E): Yttre lager med fett och blodkärl.

Urinblåsa - Vesica Urinaria (2:2:3)
Liknar Ureter i uppbyggnad. Ser ut att ha tjockare vägg med muskel och tunnare bindväv.
- Epitel (A): Urotel, Flerskiktat övergångsepitel, Pseudostratifierat epitel
- Paraplyceller (F): Ställvis på ytan
- Bindväv (B):
- Muskellager: Kraftig muskulatur
- Longitudinellt inre (C):
- Cirkulärt yttre (D)
- Adventitia (E): Yttre lager
- Serosa: Det yttersta epitellager man ser

Urinrör - Urethra (Penis 2:8:6)
Penispreparat (2:8:6) används här, inbäddad i Corpus spongiosum.
- Epitel (A):
- 2/3 proximalt (A): Urotel, Pseudostratifierat kolumnärt
- 1/3 distalt: Flerskiktat plattepitel

Videos
Fördjupning
Urinröret, urethra
Skiljer sig mellan könen. Kvinnans består av 2 typer av epitel mannen 3.
Prostatic urethra: Urotel (samma som urinblåsa), vid prostata
- • Membranosus urethra: Pseudostratifierat kolumnärt epitel mellan prostata och svällkroppar.
- • Spongy Urethra: Vid svällkropparna, längst ut.
- - Proximalt: Pseudostratifierat kolumnärt epitel
- - Distalt: Flerskiktat plattepitel
- • Meatus, öppningen har hud
Cylinderepitel är avlånga.
Urinblåsan
Urinblåsan kan blandas ihop med gallblåsan men separeras när man vet epiteltypen.
- • Epitel: Urotel (övergångsepitel) med paraplyliknande utskott mot lumen
- • Har tjockt muskellager
- • Aventitia, bindvävslager med blodkärl och nerver
Skillnad mot gallblåsa:
Gallblåsan har massa fett istället för muskler, tjock adventitia. Gallblåsan har även enkelskiktat snyggt cylinderepitel.
Urinledaren, ureter
Kan blandas ihop med sädesledaren men åter igen skiljer sig epiteltyperna.
- • Epitel: Urotel (övergångsepitel, sädesledaren har stjärnformat)
- • Lamina propria, muskellager, dubbelt, distala delen kan ha tre lager
- • Aventitia, mest av fett
Ofta stjärnformad då den är kollapsad, men blanda inte ihop med sädesledare och urinröret. Befinner man sig i urinröret och har urotel bör man även se prostata! Muskel runt Urinledare är större än urinröret med.
Njuren
Kunna identifiera:
- • Cortex: Längst ut på njuren
- • Medulla: Inre delen av njuren med Pyramider
- • Papilla: Längst in på varje Pyramid finns papilla
I medulla har man kuboidalt epitel
Nefron
Kubiskt epitel över hela.
Proximala tubuli:
Microvilli som sticker in i lumen och gör den diffust avgränsad, cytoplasma mer infärgad (mer metabol aktivitet), vilket syns som cellkärnor druknar i plasma. Därför mindre synliga kärnor.
Distala tubuli:
Tydlig avgränsning mellan lumen och epitel
Henles slynga:
Tjocka nergående liknar proximala tubuli och den uppgående som distala tubuli. Kan likna blodkärl men denna har kubiskt endotel och kärl har platta epitel.
Samlingsröret:
Är som distala tubuli fast är än mer avgränsad och cellkärnor syns mer. Hittas oftast i medulla och har gemensam riktning mot papillen.
Glomeruli:
Hittas i cortex med rörstruktur runt.
Penis - Preparat
Oftast får man inte med hela penis i preparatet då det är avskuret.
Penisens 3 svällkroppar:
- • 2x Corpus Cavernosum
- • Corpus Spongiosum
Hålrummen är venösa sinusar som kan fyllas med blod under erektion och har då vanligt endotel runt. Fibermuskulär vävnad är runt, bindväv främst men lite glatta muskelceller. Artärer kan förekomma.
Runt penisens svällkroppar finns en tunica och denna är tjockare och starkare runt Corpus Cavernosum. Detta beror på att vid under erektion vill kunna ejakulera och därför måste urinröret kunna fungera.
Stjärnformade lumen är urinröret. Körtlar kan synas, Littres körtlar och utsöndrar slem ut mot urinröret för att skydda epitelet mot urin. Dessa kan hittas längst med hela penis.
💡 Sammanfattning - Viktiga kännetecken
Njuren:
- • Glomeruli = Cortex
- • Proximala tubuli: 90%, diffus lumen
- • Distala tubuli: 10%, skarp lumen
- • Samlingsrör: gemensam riktning
Urinvägar:
- • Urotel med paraplyceller
- • Stjärnformad lumen (ureter)
- • Tjocka muskellager
- • Skilj från gallblåsa och sädesledare