Histologi - Termin 2
Här finner du bilder från mikroskop med deras förstoring, märkning, namn och förklaring.
📚 Böcker
Histologi
Till kursen ska vi känna igen saker utifrån bilder, en Atlas är bra men annars fungerar youtube med (Shotgun):
- Ross & Pawlina: Histology: A Text and Atlas
🧪 Quiz
🔬 Histologi T2: Allt
Öva på alla histologipreparat från terminen
📋 Kursinnehåll
Infärgningar
- Azan
- Hematoxylin (Htx)-Eosin
Bindväv
- Egentlig Bindväv (ospecialiserad)
- Lucker (lös)
- Tät oorganiserad
- Tät organiserad
- (Fettväv)
- Specialiserad
- Brosk
- Hyalint
- Elastiskt
- Fibröst
- Ben
- Kompakt ben
- Spongiöst ben
- Indirekt benbildning (Endochondral)
- Direkt benbildning (Intramembranös)
- Brosk
Huden
- Tunn hud
- Tjock hud
- Strukturer
- Dermis
- Epidermis
- Hypodermis
- Känselkroppar
- Hår
- Talgkörtel
- Svettkörtel
- Apokrina
- Merokrina
- Nagel
Perifera Nervsystemet
- Perifer Nerv
- Ganglion
- Spinalt
- Sympatiskt
Muskler
- Glatta
- Skelett
- Hjärta
Centrala Nervsystemet
- Cerebrum
- Cerebellum
- Ryggmärgen
🔬 Alla preparat från häftet
| Preparat | Namn | Bilder |
|---|---|---|
| 1:2:1 | Mesenterie, Järn-Htx | ![]() ![]() |
| 1:2:3 | Sena längdsnitt svans | ![]() ![]() ![]() ![]() ![]() |
| 1:2:4 | Sena tvärsnitt svans | ![]() ![]() ![]() ![]() ![]() ![]() |
| 1:2:6 | Fettväv | ![]() ![]() ![]() |
| 1:2:7 | Mesenterie, mastceller, Tol-blå | ![]() ![]() |
| 1:3:1 | Hyalint Brosk fr Revben Äldre | ![]() ![]() ![]() |
| 1:3:2 | Hyalint brosk fr led äldre | ![]() ![]() |
| 1:3:3 | Elastiskt Brosk Epiglottis | ![]() ![]() ![]() ![]() |
| 1:3:4 | Fibröst Brosk | ![]() ![]() ![]() |
| 1:3:5 | Brosk Fiboröst Azan | ![]() ![]() |
| 1:3:6 | Brosk elastiskt och hyalint | ![]() ![]() ![]() ![]() ![]() ![]() ![]() |
| 1:4:1 | Kompakt ben, silverprep tvärsn | ![]() ![]() ![]() |
| 1:4:2 | Spongiöst Ben | ![]() ![]() ![]() |
| 1:4:3 | Direkt benbildning azan | ![]() ![]() ![]() ![]() ![]() ![]() |
| 1:4:4 | Direkt benbildning Htx | ![]() ![]() ![]() ![]() ![]() |
| 1:4:5 | Indirekt benbildning Tibia/Radius | ![]() ![]() ![]() |
| 1:5:1 | Hud pigmenterad | ![]() ![]() ![]() ![]() ![]() ![]() |
| 1:5:2 | Hud med Vater Paccinis | ![]() ![]() ![]() ![]() ![]() |
| 1:5:3 | Hud Fettväv talg | ![]() ![]() ![]() ![]() ![]() ![]() ![]() ![]() ![]() ![]() ![]() ![]() |
| 1:5:4 | Hud hårfollik | ![]() ![]() |
| 1:5:6 | Nagel | ![]() ![]() ![]() ![]() ![]() |
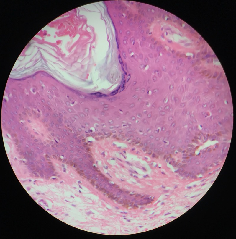
| 1:5:7 | Tjock Hud fotsula | ![]() ![]() ![]() ![]() ![]() ![]() ![]() ![]() |
| 1:5:8 | Svettkortlar axil | ![]() ![]() ![]() ![]() |
| 1:5:9 | Hud Pigmenterad och inte | ![]() ![]() ![]() ![]() ![]() ![]() |
| 1:6:1 | Nerv, längd och tvärsnitt Azan | ![]() ![]() ![]() ![]() ![]() |
| 1:6:2 | Nerv, längd & tvätsnitt Osmium | ![]() ![]() ![]() ![]() ![]() ![]() ![]() |
| 1:6:3 | Spinalt Ganglion | ![]() ![]() ![]() |
| 1:6:4 | Sympatiskt Ganglion | ![]() ![]() |
| 1:6:5 | Perifer nerv, läng & tvärsnitt | ![]() ![]() ![]() ![]() ![]() |
| 1:6:6 | Spinalt Ganlion & nerv, Silverfg | ![]() ![]() ![]() |
| 1:7:1 | Skelettmuskel, längdsnitt | ![]() ![]() ![]() |
| 1:7:2 | Skelettmuskel, längd och tvärsnitt | ![]() ![]() ![]() ![]() |
| 1:7:4 | Hjärtmuskel Azan | ![]() ![]() ![]() ![]() ![]() |
| 1:7:5 | Hjärtmuskel m purkinjefibrer, bests karmin | ![]() ![]() ![]() ![]() |
| 1:7:6 | Hjärtmuskel Human | ![]() ![]() ![]() ![]() ![]() |
| 1:7:8 | Glatt muskel, tarm (läng/tvär) | ![]() ![]() ![]() ![]() ![]() ![]() ![]() ![]() ![]() |
| 1:7:10 | Skelett, Hjärta, Glatt | ![]() ![]() ![]() ![]() ![]() ![]() ![]() ![]() ![]() ![]() ![]() ![]() |
| 1:8:1 | Cerebrum Cortex | ![]() ![]() ![]() ![]() ![]() |
| 1:8:2 | Cerebrum cortex , Silverfärgning | ![]() ![]() ![]() ![]() ![]() |
| 1:8:3 | Cerebellum cortex | ![]() ![]() ![]() ![]() |
| 1:8:4 | Cerebellum cortex, Gallocyanin | ![]() ![]() ![]() ![]() |
| 1:8:5 | Medulla Spinalis Galiomycin/Azan | ![]() ![]() ![]() ![]() |
| 1:8:6 | Medulla spinalis, silverfärning | ![]() ![]() ![]() ![]() ![]() ![]() |
| 1:8:8 | Cerebrum astroglia Cajals Guldsublimat | ![]() ![]() ![]() |
| 1:8:9 | Motorneuron utstryk | ![]() ![]() |
📖 Referenssidor
Detaljerade genomgångar av histologiska strukturer och vävnader:
🔗 Bindväv
Lucker, tät och specialiserad bindväv
🎨 Färgningar
Hematoxylin-eosin och Azan färgning
🦴 Brosk
Hyalint, elastiskt och fibröst brosk
🟡 Fettväv
Vit fettväv och adipocyter
🦴 Ben
Kompakt och spongiöst ben, benbildning
🔬 Hud
Epidermis, dermis, körtlar och strukturer
🧠 Perifera nervsystemet
Perifer nerv och ganglion
💪 Muskulatur
Skelett-, hjärt- och glatt muskel
🧠 Centrala nervsystemet
Cerebrum, cerebellum och medulla spinalis
📝 Sammanfattning
Tentamensförberedelse och översikt














































































































































































































